File:Soft-tissue lateral neck radiograph.png
Appearance
Soft-tissue_lateral_neck_radiograph.png (360 × 244 pixels, file size: 79 KB, MIME type: image/png)
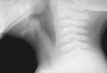
Soft-tissue lateral neck radiograph reveals edema of epiglottis consistent with acute epiglottitis. (https://emedicine.medscape.com/article/763612-overview)
File history
Click on a date/time to view the file as it appeared at that time.
| Date/Time | Thumbnail | Dimensions | User | Comment | |
|---|---|---|---|---|---|
| current | 16:32, 17 September 2021 | 360 × 244 (79 KB) | WikiSysop (talk | contribs) |
You cannot overwrite this file.
File usage
The following page uses this file:
